Case Study: Crown Lengthening
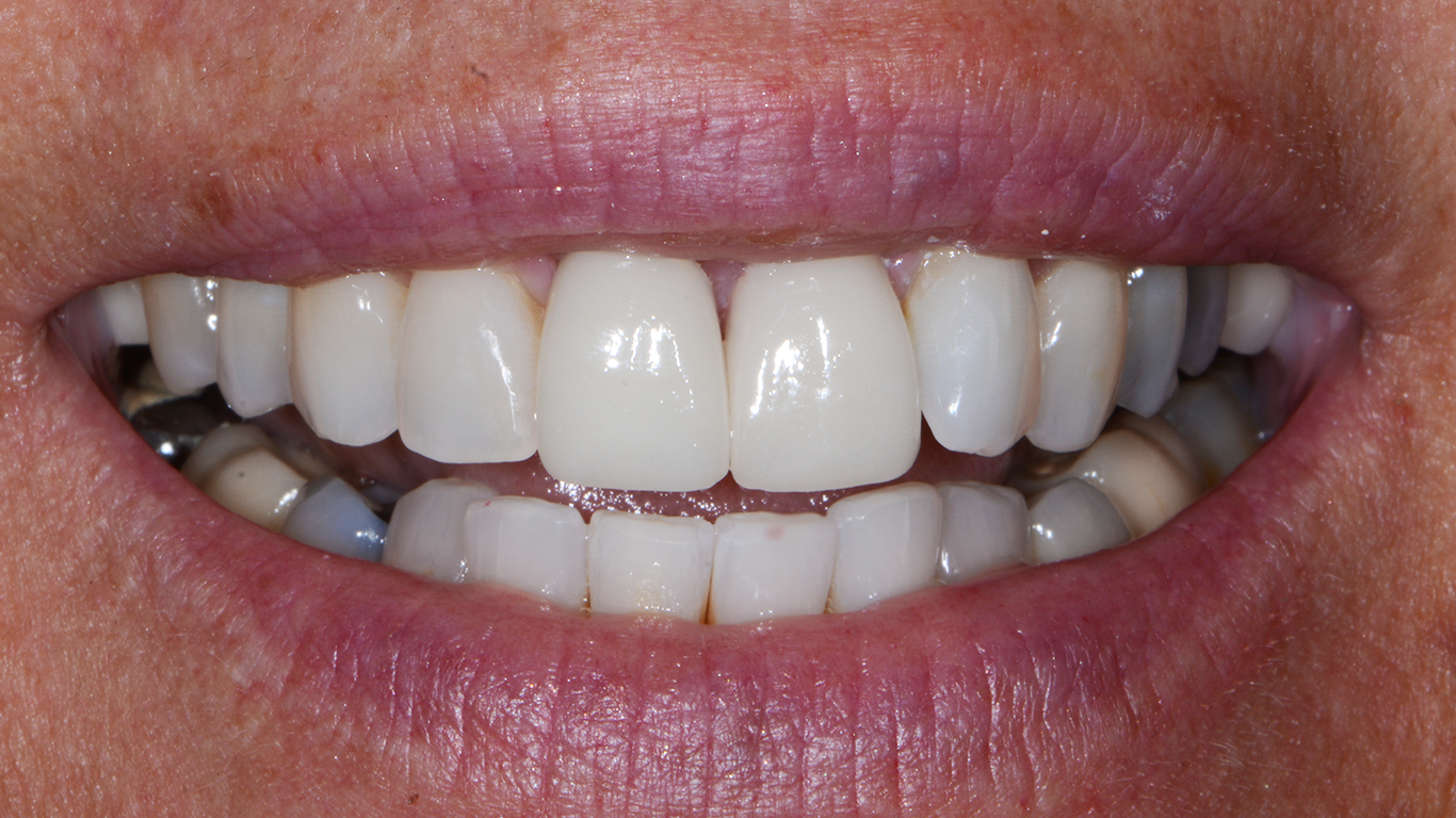
This woman came to our office with concerns about the appearance of her two front teeth. Her family told her they looked fine but she was unhappy with them. We fixed the two front teeth for her by recontouring the gums around the teeth and replacing the crowns with new metal-free crowns.
BEFORE: Crown Lengthening Pre-Op

AFTER: Crown Lengthening Post-Op


